
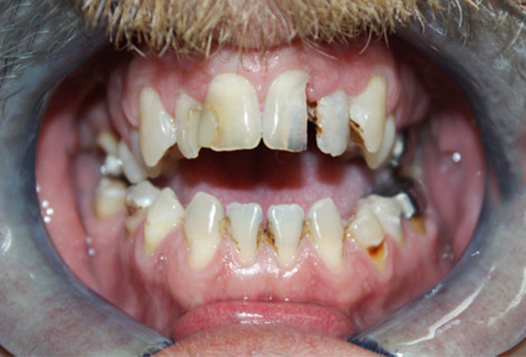
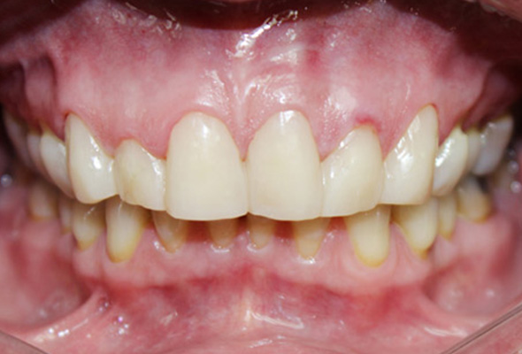
As you can see from the before and after photos we are very passionate about our work and want to make every patient happy with treatment results. We would love to help you with all your denture needs! Please contact us to know more about our dental practice and to schedule your evaluation appointment as soon as possible!








































